
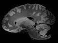
A team of researchers at the Laboratory for NeuroImaging of Coma and Consciousness have done an ultra-high resolution MRI scan of a human brain. The scan took 100 hours to complete and can distinguish objects as small as 0.1 millimeters across.
“We haven’t seen an entire brain like this,” says electrical engineer Priti Balchandani of the Icahn School of Medicine at Mount Sinai in New York City, who was not involved in the study. “It’s definitely unprecedented.”
The scan shows brain structures such as the amygdala in vivid detail, a picture that might lead to a deeper understanding of how subtle changes in anatomy could relate to disorders such as post-traumatic stress disorder.
This video above shows the scanned slices of the entire brain from side to side.
You can view/download the entire dataset of images here.
Tags: brain science videofrom kottke.org https://ift.tt/2lytCsS
via IFTTT
EmoticonEmoticon